라미네이트는 치아의 심미성을 개선하기 위한 치과 보철의 한 방법입니다.
라미네이트 무엇인지 알아보기
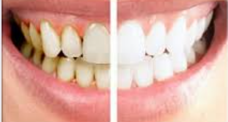
라미네이트란 치아의 앞면에 얇은 도자기 판을 접착하는 것을 말합니다.

라미네이트를 하는 케이스들은 여러가지가 있는데 다음과 같습니다.
- 치아 사이에 틈이 있는 경우
- 치아가 변색된 경우
- 치아가 파손된 경우
- 치아가 작거나 이상한 모양인 경우
- 치아가 약간 회전하거나 돌출된 경우

라미네이트에는 여러 장점들이 있는데요. 라미네이트의 장점은 다음과 같습니다.
- 자연스러운 색과 형태를 재현할 수 있습니다.
- 치아를 최소한으로 삭제할 수 있습니다.
- 장기적으로 색이 변하지 않고 강도가 유지됩니다.
- 변연 누출을 방지할 수 있습니다.
- 치주 조직과 잘 어울립니다.
- 교합 관계를 크게 바꾸지 않아도 됩니다.
라미네이트의 장점만 있는 것은 아닐텐데요. 그렇다면 라미네이트가 가지고 있는 단점은 무엇일까요?

라미네이트의 단점은 다음과 같습니다.
- 술식이 복잡하고 정교하게 해야 합니다.
- 과풍융으로 인해 치주 질환의 위험이 있을 수 있습니다.
- 파절이나 탈락이 발생할 수 있습니다.
- 한번 삭제한 치질은 되돌릴 수 없습니다.
- 수리가 어렵고 비용이 많이 듭니다.
라미네이트의 술식은 다음과 같습니다.
고지혈증에 좋은 것
고지혈증에 좋은 것 무엇일까? 고지혈증이란 혈액 속에 콜레스테롤과 중성지방이 과다하게 쌓여 혈관을 막는 질환입니다. 이는 심혈관계 질환의 원인이 되어 심장마비나 뇌졸중을 일으킬 수 있
news.kimnote.co.kr
진단 모형 제작: 환자의 현재 상태와 요구도를 파악하고 라미네이트의 크기와 모양을 미리 계획합니다.
치아 삭제: 라미네이트를 붙일 부위를 0.5~0.8mm 정도 삭제합니다.
인상 채득: 삭제한 부위의 형태를 기록하고 기공실에 보냅니다.
임시 보철물 제작: 삭제한 부위를 보호하기 위해 임시 보철물을 만들고 접착합니다.
도재 라미네이트 제작: 기공실에서 도재로 라미네이트를 만듭니다.
라미네이트 접착: 임시 보철물을 제거하고 도재 라미네이트를 접착제로 접착합니다.
마무리 및 관리: 교합 조절과 마무리 작업을 하고, 관리 방법을 안내합니다.
라미네이트 비용은 치아의 종류, 라미네이트의 종류, 치과의 수가 정책 등에 따라 다르지만 평균적으로는 치아 1개당 약 50만 원 정도입니다.
라미네이트는 치아의 심미성을 향상시키는 효과적인 방법입니다. 하지만 모든 경우에 적용할 수 있는 것은 아니므로 상담을 통해 적절한 치료 방법을 선택해야 합니다.
댓글